L'IRM : des professionnels des maladies neurologiques en Bretagne à votre écoute

Le principe de l’IRM

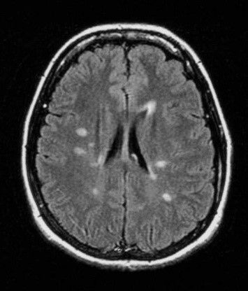
L’IRM est l’examen qui permet de voir des « coupes » du corps en deux ou en trois dimensions.

L’IRM fonctionne grâce à un champ magnétique très puissant (1,5 ou 3 Tesla) qui permet de mesurer la teneur en eau de chaque point dans l’espace et de construire ainsi des images très précises du cerveau et de la moelle épinière.


Dans le cas de la sclérose en plaques, l’IRM permet de visualiser les endroits où la myéline, substance qui entoure les neurones, a été attaquée : cela forme des plaques sur les clichés (d’où le nom de la maladie).

 

L’IRM permet aussi de distinguer des plaques actives qui témoignent d’une inflammation en cours. Ces plaques actives fixent le produit injecté pendant l’examen : le gadolinium.
On arrive très bien à distinguer les plaques anciennes et les plaques récentes.

Association Neuro-Bretagne : Association Neuro-Bretagne : réseau de professionnels des maladies neurologiques en Bretagne (Accueil)

Information

Structure régionale réunissant des professionnels de santé autour des patients touchés par une maladie neurologique, pour un parcours de soins simplifié et personnalisé.